Dental Implants
At Swastik Dental & Face Hospital, we specialize in providing the best dental implants services in Vadodara. Our experienced team is dedicated to restoring your smile and enhancing your oral health with state-of-the-art implant technology.
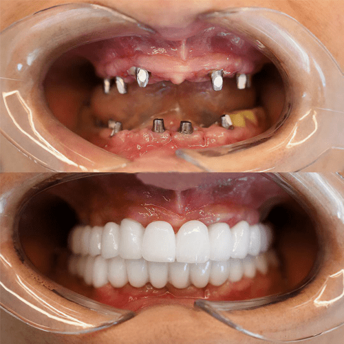
Dental implants are a durable and effective solution for replacing missing teeth. They offer a natural appearance and function, allowing you to eat, speak, and smile with confidence. Our skilled implant specialists use advanced techniques and high-quality materials to ensure successful outcomes tailored to each patient’s unique needs.
We understand that every smile is different, which is why we offer personalized consultations to discuss your options. Our modern facility is equipped with the latest technology, ensuring a comfortable and efficient experience throughout your treatment journey.
Choose Swastik Dental & Face Hospital for your dental implants in Vadodara and experience unparalleled care and exceptional results. Our commitment to patient satisfaction and advanced dental solutions makes us the top choice for those seeking dental implants. Schedule your appointment today and take the first step toward a healthier, more radiant smile!



